فرق کامپوزیت لبه شیشهای با سایر کامپوزیتها
در این مقاله قصد داریم تفاوتهای کامپوزیت لبه شیشهای با سایر کامپوزیتها را بهصورت علمی و کاربردی بررسی کنیم تا اگر قصد انجام این درمان را دارید، بتوانید بهترین گزینه را انتخاب کنید.
کامپوزیت لبه شیشهای چیست؟

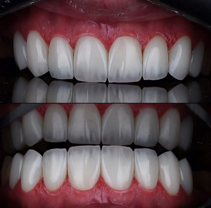
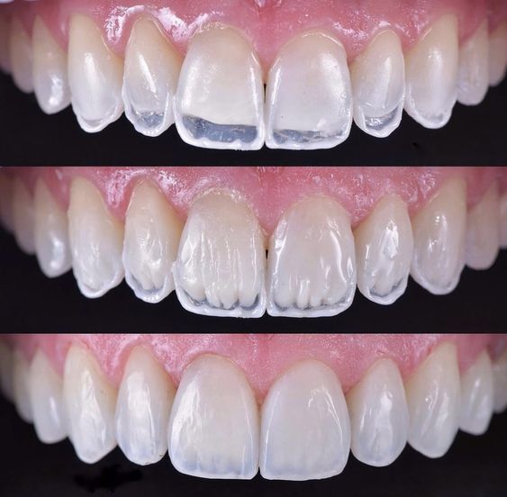
کامپوزیت لبه شیشهای به نوعی از طراحی و اجرای کامپوزیت ونیر گفته میشود که در آن لبه دندانها (بهویژه دندانهای پیشین یا جلو) با حالتی نیمهشفاف و شیشهای فرم داده میشود. این شفافیت در لبه دندان، بسیار شبیه به حالت طبیعی مینای دندانهای سالم است که نور را از خود عبور میدهد و از نظر زیبایی، جلوهای زنده و طبیعی به لبخند میبخشد.
این طراحی اغلب با استفاده از متریالهای خاص و تکنیک لایهگذاری انجام میشود و تنها توسط دندانپزشکانی که تجربه بالا در طراحی لبخند دارند قابل اجراست.
تفاوت ظاهری با سایر کامپوزیتها
درخشندگی و شفافیت
در کامپوزیتهای رایج، فرمدهی بیشتر بر اساس پوشاندن نقصهای دندانی انجام میشود و اولویت، سفید بودن و یکدست بودن دندانهاست. اما در کامپوزیت لبه شیشهای، تمرکز روی بازسازی ظاهر طبیعی دندان است. لبههای این کامپوزیت حالت شیشهای دارند و در نورهای مختلف، بازتابی زندهتر از خود نشان میدهند.
حس واقعیتر لبخند
در لبخندهایی که با کامپوزیت لبه شیشهای طراحی شدهاند، دندانها بیشتر شبیه دندان طبیعی دیده میشوند. این نوع طراحی برای کسانی که بهدنبال لبخند هالیوودی طبیعی هستند بسیار جذاب است.
کامپوزیت قسطی و انتخاب اقتصادی در تهران
افرادی که محدودیت بودجه دارند معمولاً بهدنبال طرحهای کامپوزیت قسطی هستند. اگرچه اجرای کامپوزیت لبه شیشهای هزینه بیشتری دارد، اما برخی کلینیکها این مدل را نیز در قالب اقساط ارائه میدهند تا افراد بیشتری به آن دسترسی داشته باشند.
تفاوت در متریال و تکنیک اجرا

تکنولوژی ساخت و مواد اولیه
کامپوزیت لبه شیشهای معمولاً با استفاده از مواد نانو هیبریدی یا میکرو فیل با شفافیت بالا ساخته میشود. این مواد توانایی عبور نور و شبیهسازی مینای طبیعی دندان را دارند. در مقابل، کامپوزیتهای معمولی ممکن است حاوی ذرات بزرگتر و ماتتر باشند که در نهایت ظاهر سفید ولی غیرطبیعی ایجاد میکنند.
لایهگذاری حرفهای
در اجرای لبه شیشهای، دندانپزشک با دقت بالا، لایههای مختلفی از کامپوزیت را با غلظتها و شفافیتهای متفاوت روی دندان قرار میدهد. این تکنیک نیازمند زمان، دقت، و مهارت بالاست و نتیجه آن، لبخندی حرفهای و ماندگار است.
پولیش نهایی دقیقتر
در پایان کار، پولیش دقیق سطح دندان باعث درخشندگی بیشتر و انعکاس بهتر نور میشود. لبههای شفاف اگر بهدرستی صیقل داده نشوند، زیبایی خود را از دست میدهند.
دوام و مقاومت در برابر رنگپذیری
پایداری رنگ
کامپوزیتهای با لبه شیشهای بهخاطر استفاده از مواد با کیفیتتر، مقاومت بیشتری در برابر لکهپذیری از قهوه، چای، سیگار و نوشیدنیهای رنگی دارند. البته این مقاومت مطلق نیست و همچنان نیاز به رعایت بهداشت دهان وجود دارد.
حساسیت به ترک یا لبپریدگی
درست است که این نوع کامپوزیت زیباتر است، اما اگر اجرای آن با دقت انجام نشود یا فرد عادت به دندانقروچه یا جویدن یخ داشته باشد، احتمال لبپریدگی در لبههای شیشهای وجود دارد. به همین دلیل انتخاب دندانپزشک ماهر اهمیت زیادی دارد.
تفاوت در قیمت و زمان اجرا
هزینه بالاتر، نتیجه خاصتر
کامپوزیت لبه شیشهای بهدلیل پیچیدگی اجرا، نیاز به مواد خاص و زمان بیشتر، هزینه بالاتری نسبت به انواع معمولی دارد. این هزینه البته در مقایسه با زیبایی و طبیعی بودن لبخند نهایی، قابل توجیه است.
زمان انجام بیشتر
اجرای این نوع کامپوزیت ممکن است بین ۳ تا ۵ ساعت برای هر فک زمان ببرد، در حالی که کامپوزیتهای سادهتر در مدت کوتاهتری قابل انجام هستند.
مناسب چه کسانی است؟
- افرادی که دندانهای طبیعی سالم دارند، اما بهدنبال زیبایی بیشتر هستند
- کسانی که در معرض دید عموماند (مدلها، بازیگران، مجریان)
- افرادی که لبخند هالیوودی طبیعی میخواهند
- کسانی که تمایل به طراحی ظریف و کمتغییر دارند
- افرادی که از لمینتهای ضخیم و غیرطبیعی رضایت ندارند
مقایسه کلی با کامپوزیتهای معمولی
- ویژگی لبه شیشهای معمولی
- ظاهر طبیعی بسیار بالا متوسط
- شفافیت لبهها دارد ندارد
- هزینه بیشتر کمتر
- زمان انجام بیشتر کوتاهتر
- نیاز به مهارت بالا دارد متوسط
- مقاومت به رنگپذیری بالا متوسط
نکاتی برای مراقبت بهتر از کامپوزیت لبه شیشهای
- از مسواک نرم و خمیر دندان بدون سایندگی استفاده کنید
- نوشیدنیهای رنگی را با نی مصرف کنید
- سیگار و قهوه را به حداقل برسانید
- از جویدن اجسام سخت پرهیز کنید
- هر ۶ ماه برای بررسی و پالیش مراجعه کنید
جمعبندی نهایی برای انتخاب
کامپوزیت لبه شیشهای نسل جدیدی از طراحی لبخند است که تمرکز آن نه فقط بر سفید کردن، بلکه بر بازسازی طبیعیترین فرم دندان است. لبههای شفاف، نور را بهتر عبور میدهند و حس جوانی و سلامت را منتقل میکنند. در مقایسه با کامپوزیتهای سادهتر، این مدل زمانبرتر، پرهزینهتر، اما بسیار زیباتر و حرفهایتر است.
اگر بهدنبال نتیجهای متفاوت، خاص و ظریف هستید، این مدل انتخابی هوشمندانه است. پیش از تصمیمگیری نهایی، مشاوره با دندانپزشک متخصص و بررسی نمونهکارها میتواند به انتخاب مطمئنتر شما کمک کند.